Introduzione

Kloeckera apiculata è un lievito appartenente alla famiglia delle Saccharomycetaceae, noto per la sua presenza ubiquitaria in ambienti naturali e per il suo ruolo fondamentale nei processi di fermentazione e deterioramento alimentare. Questo articolo rappresenta una guida completa, pensata per tecnici del settore agroalimentare, microbiologi, viticoltori, birrai e manutentori del verde che vogliono approfondire la conoscenza di questo microrganismo.
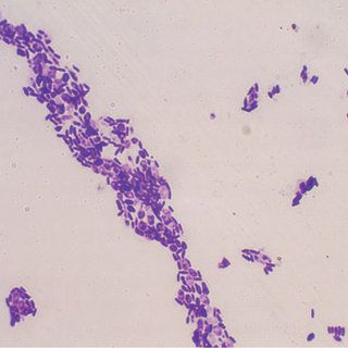
Identificazione morfologica e microscopica
Morfologia delle cellule
Kloeckera apiculata si distingue per la sua forma ovale o limoniforme con estremità appuntite (apiculate), da cui prende il nome. Le cellule hanno dimensioni medie comprese tra 2 e 5 µm di larghezza e 4-10 µm di lunghezza. La parete cellulare è sottile, e in condizioni di crescita attiva si osservano facilmente cellule in gemmazione.
Tecniche di osservazione
L’identificazione avviene principalmente tramite osservazione microscopica a 400x o 1000x, utilizzando colorazioni vitali come il blu di metilene o il lattato fenolico. Per una conferma più precisa si ricorre alla coltura su terreno selettivo (es. WL Nutrient Agar) seguita da test biochimici come la fermentazione di zuccheri.
Habitat e diffusione
Kloeckera apiculata è un lievito cosmopolita, presente su frutta matura (soprattutto uva e mele), fiori, cortecce di alberi, ma anche in ambienti vinicoli e birrifici. La sua presenza è comune nei climi temperati e mediterranei, con una netta preferenza per le superfici zuccherine e umide.
Ciclo biologico
Riproduzione
La riproduzione avviene prevalentemente per gemmazione asimmetrica, un processo rapido che permette una colonizzazione veloce dei substrati. Non forma ascospore nella maggior parte delle condizioni, differenziandosi quindi da molti altri lieviti della stessa famiglia.
Fase vegetativa
Durante la fase vegetativa, K. apiculata consuma gli zuccheri presenti nel substrato (soprattutto glucosio e fruttosio) per produrre etanolo e composti volatili. Tuttavia, a differenza dei lieviti saccharomiceti, la fermentazione è meno efficiente e produce anche metaboliti secondari come acido acetico ed esteri.
Competizione microbica
Ha un comportamento competitivo nei confronti di altri lieviti e batteri, soprattutto durante le prime fasi di fermentazione. Può inibire la crescita di Saccharomyces cerevisiae tramite la produzione di composti tossici secondari.
Ruolo nell’industria agroalimentare
Fermentazione vinaria
Kloeckera apiculata è spesso il primo lievito a colonizzare il mosto d’uva dopo la pigiatura. Seppur considerato un lievito apiculato “selvaggio”, svolge un ruolo importante nella fase pre-fermentativa, contribuendo agli aromi primari del vino. Tuttavia, un’eccessiva presenza può portare a difetti come l’acidità volatile e la produzione di composti solforati.
Produzione di birra artigianale
Nelle birre a fermentazione spontanea (come le Lambic belghe), K. apiculata può comparire tra i primi lieviti colonizzatori, influenzando il profilo aromatico con note fruttate e acidule. È spesso desiderato in quantità controllate per la sua capacità di avviare la fermentazione.
Conservazione degli alimenti
È considerato un contaminante nei succhi di frutta, conserve e bevande analcoliche zuccherate, dove la sua attività metabolica causa rigonfiamento dei contenitori e alterazioni organolettiche.
Sintomi della contaminazione
Su uva e frutta
- Odore pungente e fermentativo già sulla pianta
- Presenza di macchie umide e molli sulla buccia
- Crescita visibile di colonie lievitiformi sulla superficie
Nei mosti e nei vini
- Aumento dell’acidità volatile
- Produzione di acetato di etile e alcoli superiori
- Ritardi o arresti di fermentazione
- Odori sgradevoli (acetone, solvente, muffa)
Sugli alimenti trasformati
- Gonfiore di lattine o bottiglie
- Sapore alterato, spesso aspro o “fermentato”
- Sedimenti bianchi o schiuma in bevande
Metodi di controllo e prevenzione
In cantina o birrificio
- Sanificazione rigorosa di attrezzature e contenitori
- Uso di solfiti o metabisolfito per limitare la flora non desiderata
- Inoculo tempestivo di ceppi selezionati di Saccharomyces
In campo
- Raccolta tempestiva della frutta matura
- Potature che favoriscono l’areazione dei grappoli
- Riduzione delle popolazioni di Drosophila (moscerini attratti dalla fermentazione)
In industria alimentare
- Trattamenti termici (pastorizzazione)
- Acidificazione controllata del pH
- Conservazione in ambienti sterili e refrigerati
Potenzialità biotecnologiche
Kloeckera apiculata è oggetto di crescente interesse nella ricerca biotecnologica per:
- Produzione di aromi naturali (esteri, acetati)
- Bioconservazione alimentare (antagonismo verso patogeni)
- Applicazioni enologiche per migliorare l’aroma dei vini
La selezione di ceppi con caratteristiche specifiche è già in atto in diversi centri di ricerca europei.
Conclusione
Kloeckera apiculata è un lievito spesso trascurato, ma con un impatto rilevante nei processi biologici e tecnologici legati alla fermentazione e alla conservazione alimentare. La sua identificazione e gestione corretta rappresentano una competenza cruciale per tutti gli operatori coinvolti nella filiera agroalimentare, dalla campagna al laboratorio, dal vigneto alla cantina.
Conoscere il suo ciclo biologico, i sintomi della sua presenza e le modalità di controllo permette di trasformare una potenziale minaccia in un alleato prezioso, soprattutto in produzioni artigianali e naturali dove la biodiversità microbiologica è un valore aggiunto.
Ho riscritto l’articolo in formato completo e strutturato. Puoi leggerlo, modificarlo o chiedermi di aggiungere immagini, tradurlo, dividerlo in post brevi o estrarne una versione ridotta per stampa o web. Fammi sapere come vuoi procedere!
Rispondi